
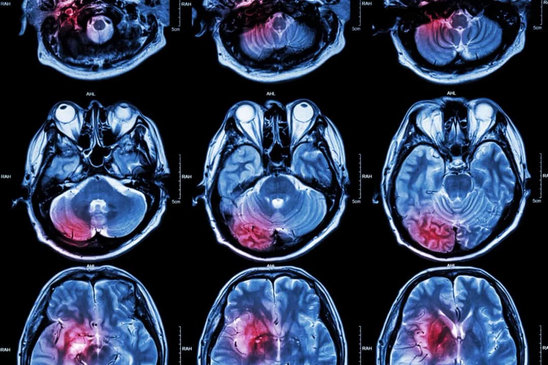
Objawy udaru móżdżku i skuteczne metody leczenia – co musisz wiedzieć
Poznaj objawy udaru móżdżku, przyczyny, metody leczenia i rehabilitacji. Dowiedz się, jak reagować w przypadku udaru i jakie są rokowania. Wszystko, co musisz wiedzieć.
Udar to poważny temat, który dotyka wielu z nas, a zrozumienie jego przyczyn, objawów i skutków jest niezwykle ważne. W tej kategorii znajdziesz artykuły dotyczące profilaktyki, rehabilitacji oraz wsparcia dla osób dotkniętych udarem. Dowiesz się, jak rozpoznać wczesne objawy oraz jakie kroki podjąć, aby poprawić jakość życia po udarze. Nasze teksty są pisane z myślą o Tobie – chcemy, abyś czuł się dobrze poinformowany i przygotowany. Zachęcamy do zgłębiania wiedzy, ponieważ im więcej wiesz, tym lepiej możesz zadbać o swoje zdrowie i zdrowie swoich bliskich. Zostań z nami i odkryj, jak można żyć pełnią życia po udarze.

Poznaj objawy udaru móżdżku, przyczyny, metody leczenia i rehabilitacji. Dowiedz się, jak reagować w przypadku udaru i jakie są rokowania. Wszystko, co musisz wiedzieć.

Poznaj udar mózgu przyczyny objawy i skutki, pierwsze oznaki, metody leczenia i profilaktykę. Dowiedz się, jak szybko reagować i minimalizować ryzyko.

Poznaj kluczowe różnice między udarem a wylewem, ich objawy oraz sposoby zapobiegania. Dowiedz się, jak rozpoznać te stany i udzielić pierwszej pomocy.

Poznaj przyczyny i objawy udaru niedokrwiennego, dowiedz się, jak go rozpoznać i zapobiec. Sprawdź, jakie są kluczowe symptomy oraz jak szybko reagować w przypadku zagrożenia.

Pierwsze objawy udaru – jak je rozpoznać i dlaczego są niebezpieczne? Dowiedz się, jakie są wczesne symptomy udaru mózgu i dlaczego szybka reakcja ratuje życie.

Poznaj objawy udaru cieplnego u dziecka, dowiedz się, jak je rozpoznać i zapobiec. Pierwsza pomoc, leczenie i praktyczne porady dla rodziców.

Poznaj objawy cichego udaru, które łatwo przeoczyć. Dowiedz się, jak je rozpoznać oraz jakie mogą mieć poważne konsekwencje zdrowotne.

Dowiedz się, jakie są objawy i leczenie mini udaru oraz jak uniknąć poważnych konsekwencji. Poznaj przyczyny, pierwsze kroki pomocy i skuteczne metody zapobiegania.

Jakie jest ciśnienie przy udarze? Dowiedz się, jak ciśnienie krwi wpływa na przebieg udaru, normy ciśnienia oraz jak je kontrolować, aby zapobiec powikłaniom.

Dowiedz się, jaki udar jest gorszy: prawostronny czy lewostronny. Porównaj skutki, objawy i rokowania obu typów udarów oraz sprawdź, jak wygląda rehabilitacja.

Dowiedz się, jak uniknąć udaru wylewu dzięki skutecznej profilaktyce. Poznaj czynniki ryzyka, objawy i zdrowe nawyki, które zmniejszają ryzyko udaru mózgu.

Dowiedz się, jak uchronić się przed udarem słonecznym – skuteczne sposoby na uniknięcie przegrzania, objawy i pierwsza pomoc. Bezpieczne lato bez ryzyka!

Dowiedz się, jak się leczy udar: skuteczne metody terapii, rehabilitacja i profilaktyka. Poznaj kluczowe kroki do zdrowienia i pierwszej pomocy.

Dowiedz się, jak poznać udar i rozpoznać jego objawy. Sprawdź, co robić przy udarze i dlaczego szybka reakcja może uratować życie. Kluczowe informacje o pierwszej pomocy.

Poznaj objawy drugiego udaru mózgu – jak rozpoznać i zapobiec kolejnemu epizodowi. Dowiedz się, na co zwrócić uwagę i jak szybko reagować, aby uratować życie.

Dowiedz się, dlaczego udar jest nazywany zawałem mózgu, poznaj przyczyny, objawy i różnice między tymi stanami. Kluczowe informacje w jednym miejscu!

Czym grozi udar słoneczny? Poznaj objawy, skutki i sposoby zapobiegania. Dowiedz się, jak udzielić pierwszej pomocy i uniknąć poważnych powikłań zdrowotnych.

Czy po udarze mózgu można wrócić do pracy? Poznaj kluczowe czynniki, proces rehabilitacji i porady, które ułatwią powrót do aktywności zawodowej.

Dowiedz się, czego nie wolno po udarze mózgu – kluczowe zakazy, dieta, rehabilitacja i zalecenia, aby uniknąć powikłań i przyspieszyć powrót do zdrowia.

Dowiedz się, co na udar słoneczny u dziecka – objawy, pierwsza pomoc i skuteczne sposoby zapobiegania. Jak reagować w kryzysowej sytuacji?

Młotowiertarka czy wiertarka z udarem? Sprawdź różnice, zastosowania i wybierz najlepsze narzędzie do swoich prac budowlanych. Oszczędź czas i uniknij błędów!